겨울철 '뇌졸중' 발병위험 증가. 초기대처가 중요
고위험군 특히 발생, 악화 위험이 높아 건강관리와 조기증상 숙지가 중요하다. 지난 10월 29일 세계 뇌졸중의 날을 맞아 겨울철의 심뇌혈관질환 발생 및 악화 위험에 대비해 고위험군의 겨울철 건강관리와 함께 뇌졸중&심근경색증 조기증상 및 대응 요령에 생각해봤다. 특히 뇌졸중과 심근경색증은 빠른 진단과 적절한 시기의 치료를 받지 못하면 사망에 이를 수 있는 중증질환이기 때문이다. 또한 생존한 경우라고 하더라도 심각한 장애를 동반하는 등 신체적, 경제적 부담이 가중 될 수 있기에 사전 예방 및 발생 시 초기 대처가 중요합니다.

뇌졸중
뇌졸중은 뇌혈관 이상에 읭해 발생하는 질환입니다. 뇌에 혈액을 공급하는 혈관이 막히거나 터지면 근처 뇌 영역이 손상되어 신경학적 증상이 나타나는 질환입니다. 뇌졸중은 응급 치료를 포함한 급성기 치료를 빨리 적용하는 것이 매우 중요한데, 뇌세포는 한 번 손상되면 다시 회복이 어렵기 때문입니다. 따라서 어떤 증상이 뇌졸중의 발생을 시사하는지 평소에 잘 알아두는 것이 필요하다. 또한 뇌졸중은 평생에 걸쳐 재발하는 질환입니다. 뇌졸중의 재발 방지를 위해서는 꾸준한 위험 관리와 약물 복용이 필요합니다.
세계보건기구(WHO)에서는 뇌졸중을 뇌혈관 장애로 인하여 갑자기 국소적 신경학적 장애 또는 의식장애가 발생하여 24시간 이상 지속하는 경우로 정의하고 있습니다. '24시간' 기준은 뇌세포의 손상이 영구적으로 발생하는 뇌졸중과 그렇지 않은 일과성 허혈 발작을 구분하기 위한 것으로, 뇌 영상이 발달하기 전인 1970년에 정해졌다. 그러나 사실 신경학적 증상 지속 시간에 기반한 뇌졸중 정의는 부정확합니다. 뇌세포의 손상은 뇌 혈류가 수 분만 공급되지 않아도 발생할 수 있기 때문이다. 더구나 요즘은 신경학적 증상이 1시간 미만으로 짧게 지속하였다가 회복되었다고 하더라고, 자기공명영상(MRI)으로 뇌졸중으로 인한 뇌 손상을 확인할 수 있다. 그래서 현재 임상 현장에서는 24시간 이내에 증상이 완전히 좋아지더라도 뇌 MRI에서 분명한 급성 뇌경색 병변이 관찰되면 뇌졸중 진단을 내리고 있다. 신경학적 증상 지속 시간이 아닌 뇌 손상 발생여부를 기준으로 뇌졸중 진단을 하는 것이다.
뇌졸중 종류
뇌졸중은 혈관이 막혀 발생하는 뇌경색과 혈관이 터져 발생하는 뇌출혈로 나눌 수 있습니다. 일과성 허혈 발작은 뇌졸중과 따로 분류하는데, 이는 뇌 혈류의 부족에 의해 일시적으로 신경학적 증상이 나타나지만, 뇌 조직 손상을 일으키지 않고 회복하는 경우도 일컫습니다. 대개 이런 경우 증상 발생 후 24시간 이내 회복됩니다. 그러나 일과성 허혈 발작의 경우라도, 재발률이 90일 내 10~13% 정도에 달하고, 이 중 절반 정도가 첫 이틀 이내에 나타난다고 알려져 있다. 따라서 일과성 허혈 발작은 앞으로 발생할 뇌졸중의 강력한 권고이므로 급성 뇌경색에 준해 진단하고 치료하는 것이 필요합니다.
뇌졸중 원인
1. 뇌경색(허혈 뇌졸중)
뇌혈관이 막히는 원인에 따라서 뇌경색을 구분하면, 크게 다음으로 나눌 수 있습니다.
- 뇌혈관의 동맥경화증에 의한 뇌경색(Large-artery atherosclerosis)
동맥경화로 큰 뇌혈관이 좁아지면 뇌경색이 발생할 수 있다. 좁아진 혈관 부분이 손상되면 그 부위에 혈전(피떡)이 발생하여 뇌혈관을 막히게 할 수 있고( 동맥경화 뇌혈전증, atherosclerotic cerebral thrombosis), 큰 목 혈관에서 발생한 혈전이 떨어져 나가 혈류를 타고 흘러 들어가서 멀리 떨어져 있는 뇌혈관을 막을 수 있습니다. (혈관-혈관색전증, artery-to-artery embolism)
- 심장성 색전에 의한 뇌경색(심장성 색전 뇌졸중, Cardio-embolism)
심장에 이상이 있는 경우에도 뇌경색이 발생할 수 있다. 특히 심장 박동이 불규칙해서 심장벽이 부들부들 떨리거나(심방세동), 심장 판막 이상이 있는 경우에 심장 내 혈전이 발생할 수 있습니다. 이들이 떨어져 나가 뇌로 향하는 혈류를 타고 들어가서 뇌혈관을 막을 수 있다
- 작은 뇌혈관(소혈관)병변으로 인한 뇌경색(Small-vessel occlusion)
뇌의 큰 혈관으로부터 나와서 뇌 조직을 관통하면서 혈류를 공급하는 혈관을 소혈관이라고 하는데, 여기에 문제가 생겨도 뇌경색이 발생할 수 있습니다. 나이가 들거나 고혈압이 오래되면 소혈관 벽이 딱딱해지고 기능이 저하됩니다. 이 경우 혈관은 손상에 취약해져 쉽게 막힐 수 있습니다. 소혈관 병변으로 인해 뇌경색이 발생하면 그 크기는 대게 크지 않아서(지름 15mm이하), 열공성 뇌경색으로도 불립니다.
- 다른 원인에 의한 뇌경색
위에 언급한 세가지가 뇌경색의 가장 큰 원인이지만, 어떤 원인이든지 뇌혈관의 지름이 좁아지거나 혈관 내 혈전이 발생하면, 뇌경색이 나타날 수 있습니다. 허혈 뇌 손상을 일으킬 수 있는 다른 드문 원인에는, 뇌혈관 박리, 혈관염, 정맥 혈전증, 혈액 응고 질환, 혈관연축, 모야모야병 등이 있습니다. 또한 혈압이 떨어지거나 빈혈 등이 발생해서 뇌관류 저하가 심각한 경우에도 뇌경색이 발생할 수 있습니다. 동맥경화증에 의한 뇌혈관 협착이 있는 사람은 뇌관류 저하에 더 취약할 수 있습니다. 이 외에도 다양한 원인이 뇌경색을 일으킬 수 있는데, 각각의 경우에 대한 치료와 예방 방법은 다르므로, 뇌경색 발생 시 전문의와 상의해서 원인을 찾는 게 매우 중요합니다.

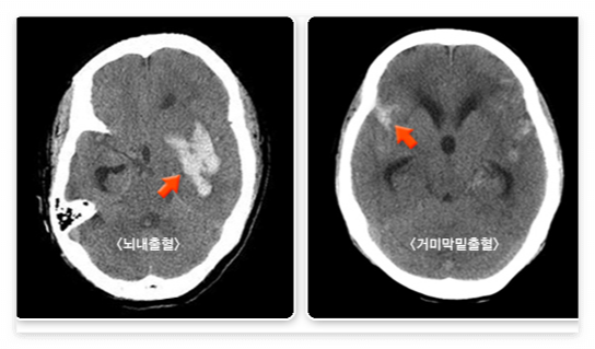
2. 뇌출혈(출혈 뇌졸중)
뇌출혈에는 뇌내출혈과 거미막밑출혈 등이 있습니다.
- 뇌내출혈
갑자기 뇌내 혈관이 터지면서 뇌 안에 피가 고이는 병입니다. 이의 대부분은 고혈압이 원인이다. 오래된 고혈압은 뇌내 소혈관을 손상시킬 수 있는데, 손상된 뇌혈관은 스트레스나 압력에 취약해져 잘 터질 수 있습니다. 이 외에 뇌혈관 기형이나 모야모야병에서도 혈관이 약해져 뇌출혈이 발생할 수 있다.
- 거미막밑출혈
뇌 동맥의 한 부분이 꽈리처럼 부풀어 올라 생긴 것을 동맥류라고 합니다. 동맥류 부위는 혈관벽이 약해서 잘 터질 수 있는데, 이 경우 피는 뇌를 싸고 있는 거미막(지주막) 밑에 고이게 된다. 따라서 출혈 발생 초기에 뇌내 조직의 직접 손상은 심하지 않아, 다른 신경학적 증상보다는 심한 두통과 구토가 특징입니다.

뇌졸중 경과 및 증세
1. 급성기 경과
- 급성 뇌졸중 발생 후에는 초기 신경학적 악화를 비롯한 신경계 합볍증이 나타날 수 있다. 초기 신경학적 악화는 뇌졸중 환자의 증세를 나쁘게 하고, 치료 시기를 놓치면 돌이킬 수 없는 뇌 손상으로 진행하는 경우가 많다. 따라서 급성 뇌졸중 환자는 뇌졸중 전문치료실에서 체계적인 입원 치료를 받아야 한다.
- 뇌경색에서 초기 신경학적 악화는 증상 발생 후 24~72시간 이내의 급성기에 주로 발생하는데 국내 여러 기관의 연구에 따르면, 초기 신경학적 악화(뇌경색 발병 후 3주 이내에 새로 발생한 신경계 증상이나 악화)는 약 15%의 뇌졸중 환자에서 나타났습니다. 이는 뇌졸중의 진행, 초기 재발 뇌졸중, 증상 출혈변환, 뇌부종 및 뇌탈출 등 다양한 원인에 의해서 나타날 수 있다.
- 뇌출혈에서도 초기 신경학적 악화가 나타난다. 뇌내출혈의 경우, 혈종의 팽창, 뇌실 내로 출혈이 확산한 뇌실내출혈, 재출혈, 뇌부종, 수두증이 초기 신경학적 악화의 주요한 원인이다. 뇌내출혈 발생 후 48시간 이내의 환자에게 약 33%에서 초기 신경학적 악화를 나타내는 것으로 보고된 바는 있다. 거미막밑출혈의 경우에는 재출혈, 혈관연축 및 그에 따른 뇌경색, 그리고 수두증 등에 의해 초기 신경학적 증상 악화가 나타날 수 있다.
- 그 외에 나타날 수 있는 급성기 신경계 합병증으로는 뇌졸중 후 발작, 두개내압 상승, 뇌졸중 후섬망 등이 있다. 이들은 모두 뇌졸중 후 증세를 나쁘게 할 수 있어서, 이런 신경계 합병증의 적절한 예방과 신속한 확인 및 치료가 매우 중요하다.
2. 뇌졸중 증세
🟩 뇌경색
- 뇌경색은 전 세계적으로 주요 사망 원인이다. 첫 뇌경색 후 30일 내 치명률은 나라마다 차이는 있으나 5~25% 정도이고, 우리나라는 2008년 7.3% 의 30일 내 치명률이 보고되어 있다. 뇌경색의 장기 치명률은 5년 동안 40~60%로 보고된다. 심하지 않은 뇌경색이라고 하더라도 장기적인 증세는 좋지 않을 수 있다. 중요한 사망 예측할 수 있게 하는 요소(예측 인자로)로 나이, 초기 임상 중증도, 뇌졸중 합병증과 동반 질환 등이 있다.
- 뇌경색의 재발은 뇌졸중으로 인한 이환율과 사망률 증가의 주된 원인이다. 1개월 이내에 1.7%~4%, 1년 이내에 6~13%, 그리고 이후 2~5년까지는 매년 5~8%씩 증가하여 결과적으로 5년 이후 재발률은 19~42%에 이른다고 알려져 있다. 이는 뇌졸중 환자에서 적극적으로 재발 방지를 위한 치료(2차예방)를 해야 하는 근거이다. 특히 발병 1년 이내 뇌경색의 재발 위험은 이후 4년간 평균 재발률의 2배정도로 높으므로, 더 많은 관심이 필요하다.
- 뇌경색 발생 후 기능 회복은 대부분 첫 주에 발생하고 3~6개월이 지나면 정체기에 도달한다고 알려져 있다. 18개월까지도 좋아졌다는 보고가 있다. 일반적으로 12시간에서 7일 사이에 신경학적 결손 회복과정이 서서히 시작된다. 신경학적 결손의 회복에 소요되는 시간이나 경과정도는 뇌경색 병변의 위치나 크기에 따라 다양하다. 대체로 뇌졸중 후 6개월째 기능 장애 상태가 향후 생존 및 장기적인 증세를 가늠하게 한다. 일반적으로 뇌경색 후 생존자 중 6개월째 독립생활이 가능한 사람은 40~65% 정도로 알려져 있다.
🟩 뇌출혈
- 뇌내출혈의 30일 사망률은 35~52% 정도이다. 이 중 반 정도는 첫 2일 이내 발생한다. 뇌출혈 후 장기생존은 일반 집단보다 떨어져 첫해에는 4.5배, 이후로 6년까지 2.2재 높다는 보고가 있다. 주된 사망 요인은 뇌졸중과 허혈심장질환이다. 뇌내출혈의 재발은 고혈압 뇌출혈에서는 5%가량 되고, 첫 뇌출혈 후 2년내가 가장 흔하다. 뇌내출혈의 환자 중 12~39%가량이 독립기능을 할 수 있는 상태로 돌아온다고 알려져 있다.
- 거미막밑출혈의 사망률은 51%까지 높게 보고된다. 약 10%의 환자는 병원 도착 이전에 사망하고, 15%가량은 거미막밑출혈 발생 24시간 이내 사망한다고 알려져 있다. 거미막밑출혈은 2.2~3.5%에서 재발한다. 특히 수술이나 혈관 내 중재 시술을 받지 않은 군에서 재발은 더 많이 발생한다. 재출혈은 첫 2주간 20%, 60일 이내 50%에서 관찰되고, 6개월 이후로는 연간 3%의 발생률을 나타내는 것으로 알려져 있다. 이러한 위험성 때문에 치료 후에도 적절한 치료가 필요하다.
뇌졸중 발생 건수는 2021년에 약 108,000건으로 10년 전과 비교해 9.5% 증가했다. 남성의 발생률이 여성보다 높으며, 연령대가 높을수록 발생률도 증가해 80세 이상에서 가장 높았다. 뇌졸중은 국내 사망 원인 중 암, 심장질환, 폐렴에 이어 4대사망원인이다. 다음은 뇌졸중 증상에 대해 알아보자.
뇌졸중 증상
뇌는 온몸에서 받아들인 자극을 인식, 해석하고, 이에 대해 적절히 반응하도록 각 장기에 명령을 보낸다. 또한 고도의 정신 작용, 감정, 언어 기능도 담당한다. 뇌혈관의 장애로 뇌세포가 손상되면 병변 부위에 따라 다양한 신경학적인 증상이 나타나게 되는데 뇌졸중 발생 시 증상이 다양하게 나타나기 때문에, 실제 뇌졸중 증상이 발생했을 때, 환자가 초기에 뇌졸중을 의심하기 어려울 수 있다. 이는 환자의 응급실 방문을 늦춰서 적절한 응급 치료를 받지 못하게 하는 원인이 되기도 한다. 따라서 평상시 뇌졸중에 의해 나타날 수 있는 증상을 잘 알고있는 것이 중요하다. 뇌졸중 발생 시 나타날 수 있는 주요 증상은 다음과 같다.
- 편측마비 ▶️ 얼굴과 팔다리, 특히 몸의 한쪽 부분이 무감각해지거나 힘이 없어진다.
- 언어장애 ▶️ 상대방의 말을 이해하기 어렵거나 말이 잘 나오지 않는다.
- 시각장애 ▶️ 한쪽 또는 양쪽 눈이 잘 보이지 않는다.
- 어지럼증 ▶️ 팔다리 움직임의 조절이 어렵거나 어지럽고 균형을 잃게 된다.
- 심한두통 ▶️ 원인을 알 수 없는 극심한 투통이 있다.
위 증상 중 하나라도 갑자기 나타났다면 빨리 전문의 치료를 받아야 한다. 중증 뇌졸중의 경우 주변에 있는 다른 사람의 도움을 통해서만 치료 시간 내에 적절한 병원에 방문할 수 있어서, 요즘은 환자 본인 뿐만 아니라 주변인을 대상으로 하는 캠페인을 벌이고 있기도 하다.
뇌졸중 진단 및 검사
뇌는 부위에 따라 각각의 담당 기능이 달라서 특정한 부위가 손상을 입으면 이에 해당하는 특징적인 신경 증상이 나타난다. 의사는 혈압 등 전신 상태와 의식 상태를 체크하고 다양한 신경학적 검사를 통해 뇌졸중의 발생 여부와 손상의 범위, 손상의 위치 등을 확인한다. 최근에는 뇌졸중을 진단하고 손상의 위치와 범위를 정확히 평가할 수 있는 다양한 검사들이 개발되어 환자의 진단과 치료에 적극적으로 활용되고 있다.
1. 컴퓨터단층촬영(Computed Tomography, CT)
- 컴퓨터단층촬영(CT)은 뇌졸중 진단을 위해 가장 흔히 사용하는 검사법으로, X-선을 이용하여 신체를 촬영하고 컴퓨터를 이용하여 신체의 단면 영상을 만들어 내는 것으로 이 검사 방법의 장점은 비교적 빠른 시간에 검사를 진행할 수 있으며, 뇌출혈 여부를 신속히 감별할 수 있다는 점이다. 특히 뇌경색을 치료하기 위한 혈전 용해제 사용에 앞서, 뇌출혈을 감별하는 도구로서 유용하게 사용되고 있다. CT조영제를 사용하여 CT혈관 조영술을 시행하면 빠르게 뇌혈관 상태도 알 수 있어 많이 사용되고 있다. 그러나 뇌종양이 뇌출혈처럼 보일 수도 있고, 뇌경색은 발병 후 일정한 시간이 지나야 병변이 보이는 등 단점도 있다.

2. 자기공명영상(Magnetic Resonance Imaging, MRI)
- 자기공명영상(MRI)은 CT와 함께 뇌졸중 진단 시 많이 사용되는 검사로서 자기장을 이용하여 몸의 단면 영상을 얻는다. MRI의 장점은 CT보다 초기의 뇌경색 혹은 작은 크기의 뇌경색을 예민하게 잘 발견하고, 뇌종양 등 다른 진단과의 구별을 쉽게 할 수 있도록 많은 정보를 제공하는 것입니다. 그러나 일부 심장 박동기와 같이 금속성 부착물을 가진 환자는 검사를 시행할 수 없으며, CT보다 검사 시간이 더 많이 걸린다. 한편 혈관의 상태를 촬영하는 자기공명혈관조영술(Magnetic Resonance Angiography, MRA)을 시행하면 뇌혈관 상태도 쉽게 확인할 수 있다.

3. 혈관조영술
- 혈관조영술이란 X-선을 투과시키지 않는 조영제를 혈관 속으로 주입하고, X-선 사진을 촬영하여 혈관의 영상을 얻는 검사법이다. 우선 가는 카테터(도관)를 경동맥이나 쇄골하정맥, 상완동맥 & 대퇴동맥 등을 통해 삽입하고 촬영을 원하는 혈관 근처까지 전진시킨 후, 도관을 통해 소량씩의 조영제를 주시기로 주입하면서 사진을 촬영한다. 혈관조영술은 혈관을 정확히 볼 수 있는 장점이 있지만, 검사용 장비의 일부가 체내 조직 안으로 들어가는 침습적인 검사법이기도 하다. 뇌혈관 및 혈역학적 상태, 그리고 뇌동맥류의 모양이나 뇌혈관 기형 상태를 정확히 평가하기 위한 진단적인 목적 이외에도, 뇌혈관을 통한 응급혈전제거술 혹은 스텐트 시술을 위한 치료목적으로도 시행한다.

4. 초음파검사
초음파 검사는 초음파를 발생시키는 기구를 이용하여 신체 내부로 초음파를 발사하고, 이것이 신체 각 조직에 반사되어 돌아오는 것을 영상으로 구성하여 보여주는 것이다. 뇌졸중의 진단과 평가를 위해 경동맥 초음파 검사와 심장 초음파 검사의 2가지 검사가 주로 사용된다.
- 경동맥 초음파
경동맥 초음파검사는 초음파 진단기구를 이용하여 뇌로 혈액을 공급하는 경동맥의 혈관 상태를 측정하는 검사 방법이다. 경동맥 초음파 검사는 혈관 내 혈전의 형성 여부와 함께 혈관이 좁아져 있는 정도, 경동맥을 통과하는 혈류의 속도 등을 확인할 수 있다.
- 심장 초음파
심장 초음파검사는 초음파 진단기구를 사용하여 실시간으로 움직이는 심장의 내부를 직접 관찰하면서 심장의 구조를 확인하고 혈역학적인 기능을 평가하는 방법이다. 가슴벽을 통한 경흉부 초음파와 식도를 통해 심장을 관찰하는 경식도 초음파가 있다.
심장 초음파를 시행하는 가장 중요한 목적은 심장의 펌프 기능과 심장 내부의 혈전 여부를 확인하는 것이다. 심방세동 등 심장 기능에 이상이 발생한 환자는 심장 내부의 혈류가 정체되면서 혈전이 형성될 수 있으며, 혈전 일부가 떨어져 나가 동맥을 타고 이동하다가 뇌혈관을 막으면 허혈 뇌졸중을 유발할 수 있기 때문이다. 한편 심장 초음파는 심장 및 대혈관의 선천 기형, 심장 확장, 심근 비대, 심장 근육 움직임의 이상, 판막 질환 유무 및 정도, 심장 내부와 주위의 비정상적인 구조물 등을 진단하기 위해서 사용된다.
5. 부정맥검사
심장 부정맥을 확인하기 위해 24시간 또는 그 이상의 기간에 걸쳐 심전도를 시행하기도 한다. 심방세동 같은 심장 부정맥이 있으면, 혈전 생성이 일어나 뇌졸중의 위험이 5배 이상 증가하는 것으로 알려져 있기 때문이다. 심방세동이 발견되면, 뇌경색 예방을 위한 항응고제 사용이 지속적으로 필요하다.
뇌졸중 치료
뇌졸중이 의심되면 즉시 환자를 병원으로 옮겨 빨리 치료를 받게 해야한다. 혈전융해술과 혈전제거술의 이득이 제한된 시간 내에서만 증명되어 있기 때문이다. 응급 치료에는 골든타임이 있다. 뇌졸중의 치료는 뇌졸중의 원인이 허혈성인지 출혈성인지에 따라 다른 치료방법을 사용하게 된다.
1. 급성 뇌경색의 치료
- 혈관 재개통 치료
▶️ 뇌혈관이 막힌 지 얼마 되지 않은 환자는 혈관을 막고 있는 혈전(피떡)을 녹여서 재개통시키기 위해 정맥으로 tPA라는 혈전 용해제를 투여해 볼 수 있다. 뇌 조직은 불과 수 시간 이내라도 혈류 공급이 차단된다면 돌이킬 수 없는 손상을 남긴다. 이러한 시간대 이내에 혈류를 재개통시켜 뇌 조직이 정상으로 돌아올 수 있도록 돕는 것이 중요하다. 현재 혈전 융해제를 투여할 수 있는 골든타임은 뇌경색 발생 시점으로부터 4시간 30분까지이다. 그러므로 뇌졸중 증상이 발생하게 되면 즉시 병원으로 오는 것이 아주 중요하다. 치료가 잘 된 경우 즉시 증상이 좋아지기 시작하여, 수일 이내 완전히 증상이 회복되는 것을 기대해 볼 수 있다.
▶️ 큰 뇌혈관이 혈전으로 인해 막힌 일부 환자에서는 동맥 내 혈전 제거술을 시도해 볼 수 있으며(증상 발생 6시간 이내), 환자 상황에 따라 증상 발생 후 24시간까지 시도하는 때도 있다. 따라서 증상 발생 후 4시간 30분이 지났다 하더라도 병원에 빨리 내원하는 것이 좋다. 시술하게 되면 허벅지나 손목의 큰 동맥을 통해 뇌 안쪽의 혈관까지 긴 카테터를 넣고 혈전을 직접 제거하는 과정을 시도한다.
- 항혈전제
항혈전제는 혈전의 생성을 억제하는 약물로, 추가적인 혈전의 생성을 억제하여 증상 악화 및 재발을 예방하는 효과를 기대할 수 있다.
① 항혈소판제
▶️ 항혈소판제는 혈소판의 응집을 방해하여 혈전이 발생하는 것을 억제하는 역할을 한다. 항혈소판제의 대표적인 약물로는 아스피린이 있다. 아스피린을 뇌경색 증상 발생 24~48시간 이내 사용하는 것을 추천하고 있다. 그러나 출혈 동반 여부나 환자의 혈관상태, 동반질환 등에 따라 투약의 시기나 약물 선택 등은 달라질 수 있다. 이런 항혈소판제로는 아스피린 외에도 클로피도그렐, 실로스타졸, 티카그렐러, 트리플루살 등이 있다.
② 항응고제
▶️ 항응고제는 혈액의 정체에 의한 응고를 저지하는 효과가 있으며 항혈소판제와 비교해 더 강력한 혈전 저해 효과가 있다. 대신 출혈 부작용에 대한 위험도 더 크다. 일반적으로 항응고 요법은 심장성 색전증에 의한 뇌경색이나 응고 장애가 있는 뇌경색 환자에서 재발 예방을 위한 목적으로 사용되고 있다. 급성 뇌경색 환자에서 항응고제의 투여 시점은 환자의 뇌경색 크기나 신경학적 상태에 따라 달라질 수 있다. 이런 항응고제로는 헤파린, 와파린, 비타민K 비의존성 경구항응고제(Non-vitamin K antagonist oral anticoagulants, NOAC) 등이 있다.
2. 급성 뇌출혈의 치료
- 우리나라에서 최내출혈 대부분은 고혈압에 의한 뇌출혈이다. 이 경우 혈압조절, 뇌압조절 등의 응급치료가 중요하다. 때로는 고인 피를 뽑아내는 수술치료가 필요하기도 한데, 모든 뇌출혈 환자에서 다 시행해야 하는 것은 아니다. 수술 치료는 적절한 약물 치료에도 뇌출혈 상태가 점점 나빠지거나, 출혈량이 아주 많은 환자에게 고려할 수 있다.
- 거미막밑출혈의 경우, 시간이 지나면서 재출혈이 발생할 위험이 상당히 크므로, 동맥류의 목부분에 클립을 키우는 수술이나, 늘어난 동맥류를 혈관 내 시술로 폐쇄시키는 시술이 필요하다. 그 외 철저한 검사와 함께, 혈압 조절 및 체액유지, 혈관연축을 막기 위한 니모디핀 처방 등을 함께 해야한다.
3. 뇌졸중의 급성기 치료
- 급성 뇌경색 환자는 혈전 융해제나 혈관 내 시술을 받음으로써 후유증을 줄일 수 있다. 그러나 이러한 치료를 받는 환자는 전체 뇌졸중 환자의 각각 10.7%, 3.6%에 지나지 않는다. 따라서 급성기에 환자의 합병증을 줄이고 증상을 좋게 하기 위해서 일반적인 치료가 적극적으로 이루어져야 한다. 일반적인 치료로는 혈압관리, 혈당 및 체온의 적절한 조절, 기도 및 적정 산소포화도의 유지, 탈수 방지 및 심장 감시 등이 있다.
- 뇌졸중에 의한 뇌의 손상 부위가 매우 크거나 뇌간 등 중요 부위에 병변이 있을 때 숨을 이상하게 쉬거나 잘 못 쉴 수 있다. 이럴 때는 인공적으로 기관지에 튜브를 삽입한 뒤, 인공호흡을 시키고, 가래를 뽑아주는 등의 기도유지를 잘해주는 것이 중요하다.
- 뇌출혈로 뇌부종이 발생할 수 있다. 뇌는 딱딱한 두개골에 둘러싸여 있는데, 뇌출혈로 인해 뇌 안에 피가 고이거나 뇌경색 후 병변 부위가 붓는 뇌부종이 생기면, 뇌압이 오르고 부은 뇌조직이 점차 뇌간의 호흡 관련 부위를 압박할 수 있다. 이것을 막기 위해서 뇌압을 하강시키는 약제를 투입하고 심하면 두개골을 열어 주어 뇌압을 떨어뜨리는 수술을 시행한다. 또한 급성기의 뇌졸중 시에는 혈압이 매우 높이 올라가는 경우가 많으며 적절한 혈압약으로 이를 조절한다.
- 환자는 철저한 관리와 전문적인 치료를 필요로 하므로, 급성 뇌졸중 환자들은 적절한 뇌졸중 전문치료실을 포함한 체계적인 시설이 갖춰진 곳에서 치료받는 것이 필요하다.
4. 재활 치료
급성 뇌졸중 치료가 끝난 뒤에는 적극적인 재활 치료를 시작해야 한다. 뇌졸중 후 죽은 뇌세포 기능은 주위의 세포들이 대신하여 보상하게 되는데, 초기부터 다양한 운동 및 재활 프로그램을 시작하는 것이 빠른 회복을 도와 신경학적 후유증을 최소화할 수 있다고 알려져 있다. 뇌졸중 발생 후 기능회복은 대부분 첫 주에 발생하고, 3개월에서 6개월이 지나면 정체기에 도달한다고 알려져 있다. 따라서, 재활 치료는 조기에 시작하는 것이 권장된다. 그러나 뇌졸중 발생 후 24시간 이내의 초급성기에는 오히려 재활 치료가 좋지 않다는 데이터도 있어 전문의와 상의한 뒤에 재활 시기를 결정하는 것이 바람직하다.
뇌졸중 위험요인 및 예방
최근 동맥 경화증이나 그로 인한 협심증, 심근경색 환자들이 많이 늘었다. 뇌졸중에서도 뇌출혈보다 뇌경색의 비율이 늘었으며, 서구와 비슷하게 뇌졸중의 70~80% 를 차지하고 있다. 뇌 조직은 뇌졸중으로 한번 괴사에 빠지면 회복이 쉽지 않다. 따라서 뇌졸중이 발생하면 정도의 차이는 있으나 상당수의 환자에게 후유증이 남게 되고 이로 인한 환자 자신의 고통은 물론이고 사회적, 경제적 손실이 매우 크다. 이러한 뇌졸중에 대한 부담을 근본적으로 해결할 방법은 뇌졸중의 예방입니다. 뇌졸중을 예방하려면 뇌졸중의 위험 인자를 잘 알고 관리하는 것이 중요하다. 나이나 유전적 요인 등 조절할 수 없는 위험 인자는 어쩔 수 없겠으나, 조절 가능한 위험 인자의 관리만으로도 뇌졸중 위험을 낮출 수 있다.
'라이프' 카테고리의 다른 글
| 이명 원인, 진단 및 검사, 치료법과 예방 (11) | 2024.11.22 |
|---|---|
| (성인) 폐렴 종류, 원인, 증상,진단 및 검사, 치료 (75) | 2024.11.21 |
| 메니에르병 원인, 경과, 증상, 검사, 치료 (5) | 2024.11.19 |
| 겨울 불청객 심근경색, 증상및응급조치, 심폐소생술, 원인및예방 (8) | 2024.11.18 |
| 당뇨환자의 약물요법, 치료방법, 치료관련주의사항, 치료합병증및부작용,치료후 (7) | 2024.11.18 |